Welcome to Plaza Dentistry

At Plaza Dentistry, your comfort and confidence come first. Whether you’re here for a routine exam, cosmetic treatment, or a dental emergency, our experienced team delivers advanced, personalized care in a warm, welcoming environment.

 

Join the Rancho Bernardo families who trust us to keep their smiles healthy and bright.

Cluff Family

Begin Your Dental Journey at
Plaza Dentistry

We believe a healthy smile can transform your life, and we’re here to help make that happen. As the go-to dentist in Rancho Bernardo, our mission is to provide exceptional dental care that’s tailored to your needs, delivered with compassion, and backed by the latest in modern dental technology. Whether you’re visiting us for a routine cleaning, cosmetic enhancement, dental emergency, or comprehensive smile makeover, you’ll find expert care in a warm, welcoming environment.

If you’re searching for a dentist in Rancho Bernardo that residents trust for honest recommendations, quality care, and outstanding results, look no further than Plaza Dentistry. Our entire team is dedicated to helping you achieve the healthy, confident smile you deserve through preventive care, advanced treatments, and a stress-free dental experience. 

Our Services

We provide a wide range of services, including general, cosmetic, family, and emergency dentistry. Whether you need a routine check-up, Invisalign®, or dental implants, our team is equipped with the latest technology and techniques to keep your smile healthy and bright.

Top Rated Dentists Serving Rancho Bernardo, Poway, and the San Diego Area

Meet Our Doctors

At Plaza Dentistry, your care is in the hands of a skilled and compassionate dental duo: Dr. Michael Payor and Dr. Diana Cluff‑Payor. Together, they bring a unique blend of clinical expertise, gentle care, and community-focused values to every patient visit.

Both doctors are active members of the American Dental Association, California Dental Association, and San Diego County Dental Society. Outside the office, they enjoy cooking, traveling, music, and spending time with their office pup, Chica.

The Power Of Invisalign®

Invisalign® is a modern orthodontic solution that transforms your smile without the hassle of metal braces. Using a series of custom-made, clear aligners, Invisalign gently shifts your teeth into proper alignment comfortably, conveniently, and nearly invisibly.

Benefits of Invisalign® include:
  • Discreet and virtually invisible appearance
  • Removable for meals, brushing, and special events
  • Fewer office visits compared to traditional braces
  • Comfortable, custom-fit trays with no metal irritation
benefits of invisalign
Proud Invisalign Gold+ Provider
Affordable Financing Options

Affordable Financing Options Available

We proudly accept most major insurance carriers and offer convenient monthly financing through CareCredit, making it easier to plan and afford your treatment. Contact our Rancho Bernardo office to learn more.

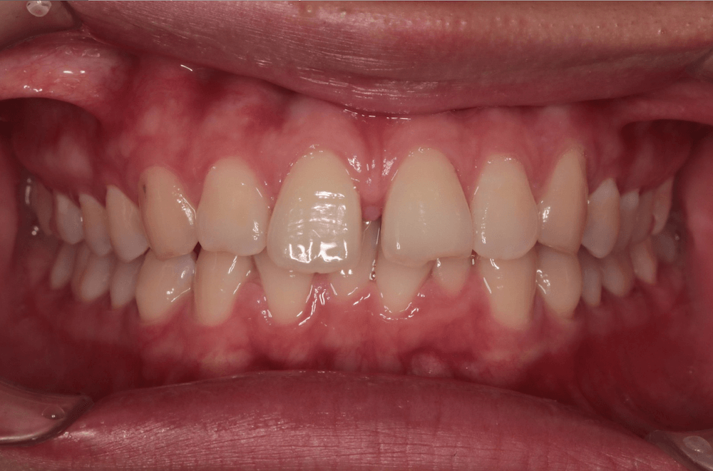
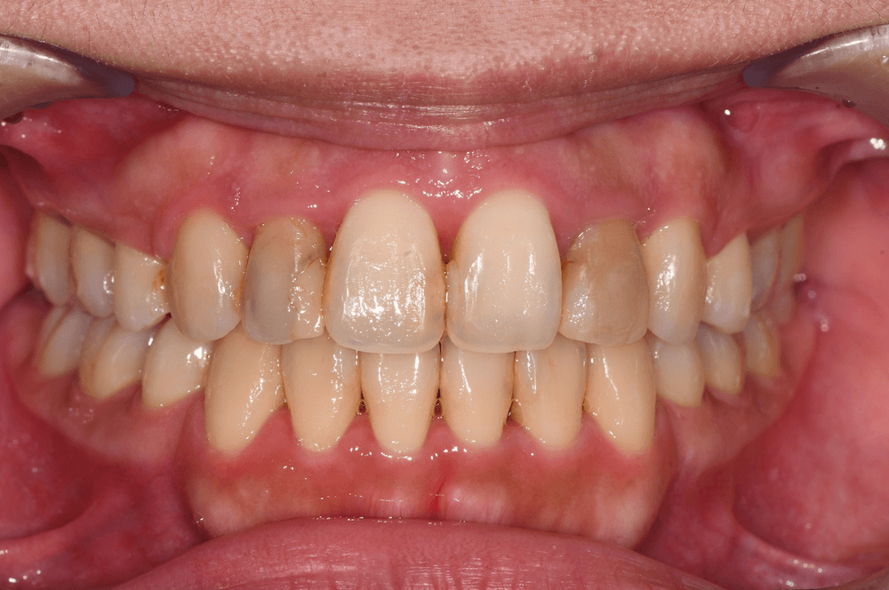
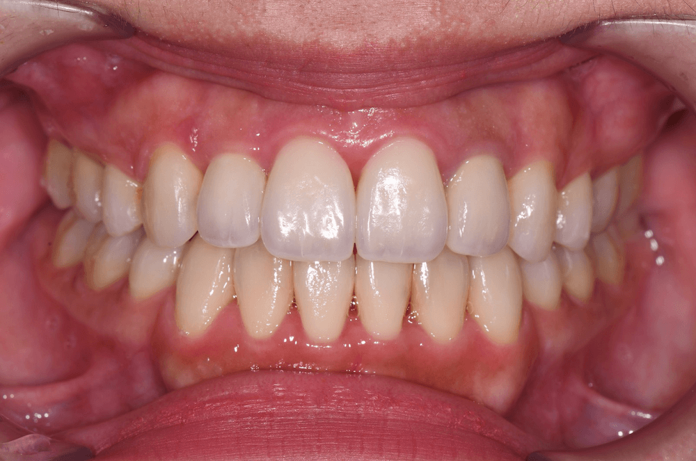
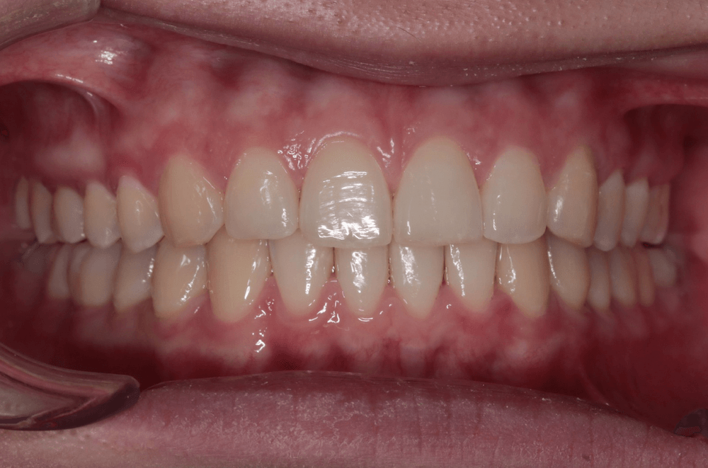
Smile Transformations

Browse a few of our smile makeovers below to see how expert care and modern dentistry can make all the difference.

Before After
Before After
Before After

What Patients Are Saying

Scroll to Top